Journal of the Bahrain Medical Society
Year 2018, Volume 30, Issue 3, Pages 5-9
https://doi.org/10.26715/jbms.3_25122018Tejal Shamik Shah1, Khalid Khan1*, Omran Naser Sarwani1
1Department of Radiology, Salmaniya Medical Complex, Manama, Kingdom of Bahrain.
*Corresponding author:
Khalid Khan, Department of Radiology, Salmaniya Medical Complex, Manama, Kingdom of Bahrain; Tel: (+973) 33185455, Email: dr.khalidkhan@outlook.com
Received date: October 25, 2018; Accepted date: December 25, 2018; Published date: December 31, 2018

Carcinoma originating from a thyroglossal duct cyst is a rare entity that is often identified onpostoperative histopathology after Sistrunk procedure. In this procedure the thyroglossal duct cystalong with the entire tract and some part of hyoid bone are excised to prevent recurrence. We presentthe case of a 39-year-old male with midline neck swelling who was preoperatively diagnosed oflocally advanced papillary carcinoma originating in a submental thyroglossal duct cyst and thepresence of cervical lymph node metastasis.
Keywords: Papillary carcinoma; thyroglossal duct cyst carcinoma; thyroid gland
A thyroglossal duct cyst (TDC) is the most common abnormality in the development of the thyroid gland. It commonly presents as a midline cervical mass located in an area from the base of the tongue to the pyramid of Lalouette.1 Thyroglossal duct carcinoma (TDCa) is a malignant tumor arising within the thyroglossal duct. About 1% of TDCs can harbor malignancy.2 Most of the cases are discovered through histopathological examination of TDC after surgical resection. Papillary adenocarcinoma is the most common histopathological type, representing about 85–92% of these tumors.3 The second most common histopathological type is the squamous cell carcinoma, which represents about 6% of all the cases and tends to be more aggressive with worse prognosis.4 In this case report, we present a case of papillary carcinoma of a thyroglossal duct, which was diagnosed preoperatively due to its malignant features on ultrasonography (USG), computedtomography (CT), and magnetic resonance imaging (MRI) studies along with fine needle aspirationcytology (FNAC).
A 39-year-old male patient presented to the eye,nose, and throat (ENT) outpatient department with a history of a midline neck mass for the past seven months. The mass was painless and gradually increased in size. The patient had no hoarseness, odynophagia, dysphagia, or dyspnea. There was no history of fever, weight loss, or previous radiation exposure. Physical examination revealed a soft, well circumscribed cystic midline neck swelling measuring about 3 × 4 cm, prominent on protrusion of the tongue and deglutition. Bilateral enlargedand palpable cervical lymph nodes were observed. The thyroid gland was normal on palpation; thyroid function tests were normal as well.
Neck USG showed a well-defined hypoechoiccystic lesion measuring 3 × 3 × 5 cm in diameter in the submental region and another lesion in the right submandibular region. There was a prominent soft tissue component with calcifications noted within the lesion (Figure 1).

The thyroid gland was normal in appearance; bilateral cervical lymphadenopathy, mostly at level II and III, was also seen. A CT scan of the neck with intravenous contrast administration showed a midline complex cystic mass with peripheral enhancing walls, thick internal septations, and an enhancing soft tissue component along with coarse calcifications at the hyoid bone level (Figure 2).

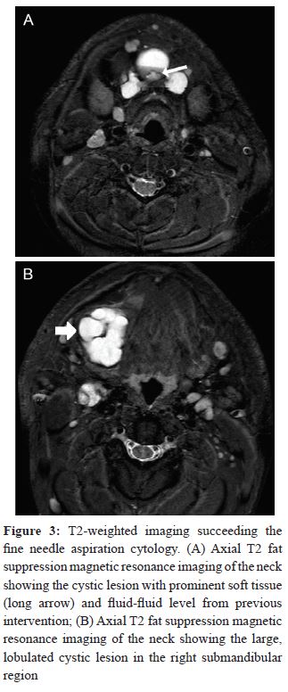
Another lesion was identified in the right submandibular area anterior to the right submandibular gland, which was displaced posteriorly due to mass effect from the lesion. Multiple enlarged cervical lymph nodes were noted, some of which showed central necrosis and calcifications. FNAC of the neck mass revealed papillary carcinoma. A pre- and post-gadolinium contrast enhanced MRI of the neck was subsequently performed for local staging and toassess the extension of the carcinoma. It revealed anirregular, lobulated predominantly cystic lesion in the midline neck at the hyoid bone level anteriorly. The lesion was predominantly hyperintense ofT2-weighted images showing a distinct fluid level consistent with hemorrhage due to the preceding FNAC (Figure 3).

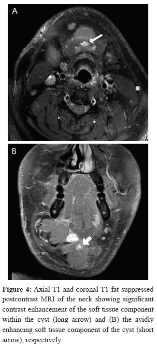
A solid enhancing mural nodule with calcifications was observed as well (Figure 4). Another lesion was noted in the right submandibular region measuring 4 × 3 cm indenting the ipsilateral submandibular gland, however no gross infiltration of the gland was seen. This was most likely anenlarged metastatic lymph node. Multiple suspiciouslevel II and III lymph nodes were also observed.The thyroid gland was normal with no focal lesions identified.

Based on the radiological findings and the FNAC results, TDCa was diagnosed. Further, the patient underwent total thyroidectomy with excision of the thyroglossal cyst (Sistrunk procedure) andbilateral neck dissection. After the surgery, therewere no immediate complications and the patienthad an uneventful recovery. The postoperative histopathology confirmed the diagnosis of papillary carcinoma arising within the thyroglossal duct cysta nd infiltrating its wall with positive lymph nodes at levels II and III on the right side. The thyroid gland was free of tumor.
The thyroid gland descends from the foramen cecumto its final location just below the thyroid cartilage. As it descends, it leaves a trail of an epithelial tract called the thyroglossal tract, which disappears between the 5th and 10th weeks of gestation. Failure of complete atrophy of the thyroglossal tract leads to the formation of a thyroglossal duct cyst. The most common clinical presentation of TDCs is anasymptomatic, palpable anterior neck mass at the hyoid bone level or below it. The presence of a solid tissue component in TDC raises the possibility of anoccult malignancy. The incidence of TDCa varies from 0.7 to 1% of thyroglossal duct cyst.1 Most ofthe cases are diagnosed during the third and fourthdecades of life. It is more predominant in females with a male to female ratio of 2:3.3
The two main histopathological types of TDCa are papillary carcinoma and squamous cell carcinoma. The papillary type of carcinoma is believed to arise from thyroembryonic remnants in the cyst or within the duct and the squamous cell type arises from metaplastic cuboidal cells.5
In the reported cases, papillary carcinoma accounts for about 81.7% of the cases, followed by mixed papillary-follicular carcinoma 6.9%, squamous-cellcarcinoma 5.2%, follicular and adenocarcinoma1.7% each, and malignant struma, epidermoid carcinoma, and anaplastic carcinoma about 0.9%each.6 Two theories have been proposed regarding the origin of TDCa. The first theory is that the carcinoma arises de novo from the native thyroid tissue in the wall of the cyst and the second theory is that it arises as a metastasis from the thyroid gland.1In about 7.7–12.9% of reported cases, metastasis to the regional lymph nodes was reported.7
The clinical presentation of TDCa is similar to TDC, in a way that both present as asymptomatic anterior neck mass in the midline. As a consequence, in most cases, the malignancy can be diagnosed once the surgical resection is performed. However,certain features, such as hard consistency of the mass and recent changes in clinical signs, includingan increase in size of the lesion, increasing pain, and palpable enlarged cervical lymph nodes may suggest malignancy.
Imaging plays an important role in the preoperative workup of TDC and plays a specifically important role, when the diagnosis of TDCa is suspected. The USG is the first imaging modality used to assess the anterior neck mass, which may reveal a cysticl esion with a mural component. Microcalcifications may also be evident within the lesion and sometimes the tumor may be seen invading the cyst wall.8 CTscan or MRI is usually performed to confirm the diagnosis and to evaluate the neck for any other regional masses or enlarged lymph nodes. On CT scan or MRI, the carcinoma may appear either as a peripherally located soft tissue mass within the cyst, a completely solid lesion involving the thyroglossal duct, or as an invasive mass in the neck anteriorly. CT scan may also show calcifications within the primary lesion or in the metastatic lymphnode. FNAC is considered a safe procedure and may aid in the preoperative diagnosis of TDCa.6In our patient, FNAC was positive for papillary carcinoma.
Proper management of TDCa is controversial. In a study by de Tristan et al., TDCa was observed in1.4% cases of TDCs (4 out of 352 total cases), all of which were later confirmed as papillary carcinoma.9Total thyroidectomy was performed in three of the four patients with TDCa, however none of these patients were found to have a second carcinoma inthe thyroid gland, indicating that the thyroidectomy was performed unreasonably.9 In view of these findings, some suggest that the surgical strategy should be tailored as per the group risk stratification. Hence, it is recommended that in low risk patients with normal thyroid gland, both clinically and radiologically, the Sistrunk procedure is performed alone without total thyroidectomy.10 The inclusion criteria for low risk situations is age < 45 years, size of the tumor < 4 cm, no soft tissue infiltration, no distant metastasis, no aggressive tumorhistology, and no previous radiation exposure.10In high risk patients or in patients where there are positive surgical margins, total thyroidectomyand radioactive iodine ablation (RAI) are done in addition to the Sistrunk procedure.10 The reason behind this is that no significant survival benefit oftotal thyroidectomy and RAI in conjunction with Sistrunk procedure was noted in low risk patients.11
Malignant lesions originating in a TDC are uncommon, therefore its diagnosis could be overlooked. Most of the cases are papillary thyroid carcinomas with good prognosis. For rapidly growing neck masses located in the midline, imaging of the neck and FNAC are required, which greatly aid in the preoperative diagnosis of malignancy. Carcinoma should be suspected in the cyst when there is presence of soft tissue component in a cystic mass located in the midline along with specks of internal calcifications, with a normal thyroid gland. Sistrunk procedure is adequate for many of the patients who present with a clinically and radiologically normal thyroid gland. However, in advanced cases there is a need for more aggressive treatment, including total thyroidectomy, RAI ablation, and thyroid stimulating hormonesuppression. Neck dissection is essential in patients with lymph node involvement.
The authors of the study have no conflict of interest to declare.